【佳学基因检测】膀胱癌基因检测的依据、实施及靶向药物治疗
肿瘤基因检测导读:
膀胱癌是任何起源于膀胱的肿瘤。它是最常见的泌尿道肿瘤,尿路上皮癌 (UC) 是最常见的组织学类型。佳学基因肿瘤基因检测介绍膀胱癌的诊断与治疗,并建议跨专业团队合作以改善对患有这种疾病的患者的护理方面的作用。
佳学基因检测科普观点:
- 描述吸烟、血吸虫病和职业接触化学品在膀胱癌病因中的作用。
- 概述用于评估膀胱癌的 TNM 和临床分期。
- 将 UTI、无痛性肉眼血尿和刺激性膀胱症状确定为膀胱癌的早期症状。
- 解释跨专业团队之间协作和沟通的重要性,以加强对膀胱癌患者的护理。
膀胱癌基因检测的简要介绍
膀胱癌 (BC) 是泌尿系统最常见的肿瘤。尿路上皮癌 (UC) 是最常见的膀胱癌 (BC) 组织学类型(约 90%)。尿路上皮癌 (UC) 的是指尿路上皮起源的肿瘤细胞侵入基底膜或固有层或更深。世界卫生组织已经用尿路上皮癌取代了旧术语移行细胞癌。当侵入深度为 2 毫米或更小时,侵入被称为“微侵入”。世界卫生组织 (2016) 根据分化程度将膀胱癌分为低级别(1 级和 2 级)或高级(3 级)。低级别和高级尿路上皮疾病之间的区别对患者的风险分层和治疗具有重要意义。
膀胱癌的发病原因
BC 有多种已知的风险因素。重要的危险因素包括吸烟、血吸虫病感染和职业接触某些化学品。 吸烟是膀胱癌 (BC) 最重要的危险因素。吸烟者患膀胱癌 (BC) 的风险是非吸烟者的 2 至 6 倍;风险取决于吸烟的持续时间和强度。在发展中国家,血吸虫感染是引起BC的重要原因。埃及血吸虫卵嵌入膀胱壁导致刺激、慢性炎症、鳞状化生和异型增生,进一步发展导致膀胱鳞状细胞癌。职业接触油漆、橡胶、石油产品和染料与膀胱癌 (BC) 相关。与膀胱癌 (BC) 相关的化学物质包括芳基胺染料、苯胺染料、非那西丁(镇痛药)、环磷酰胺(细胞生长抑制剂)和砷。
膀胱癌的发病率
在世界范围内,BC 是第七大最常见的癌症。2017 年美国新增膀胱癌 (BC) 病例 79,030 例,死亡 16,870 例。在美国,BC 是男性第四大常见癌症,女性第八大常见癌症。与非裔美国人相比,BC 在白种人中的发病率是非裔美国人的两倍;本病发病率随年龄增长而增加。在美国,大多数膀胱癌 (BC) 是 UC,不到 5% 是鳞状细胞癌或腺癌。BC 的发病率在发展中国家是发达国家的两倍。在发展中国家,大多数膀胱癌 (BC) 是鳞状细胞癌并与地方性血吸虫病相关。
病理生理学
尿路上皮癌 (UC) 通过两个不同的途径发展,第一个与乳头状病变有关,第二个与扁平病变有关。拷贝数改变和遗传不稳定性与肿瘤进展和较差的预后相关。低级别乳头状肿瘤通常起因于单纯性增生和/或轻微不典型增生,其特征是 9 号染色体杂合性缺失 (LOH) 和成纤维细胞生长因子受体 3 (FGFR3)、端粒酶逆转录酶 (TERT)、磷脂酰肌醇 4 的激活突变,5-二磷酸 3-激酶催化亚基 α 亚型 (PIK3CA) 和 STAG2 的失活突变。由于获得 CDKN2A 丢失,低级别乳头状非肌肉浸润性膀胱癌 (BC) 可进展为肌肉浸润性 BC。肌肉浸润性膀胱癌 (BC) 由扁平异型增生或原位癌 (CIS) 引起;病变显示 TP53 突变和 9 号染色体的 LOH。浸润性癌可以进一步获得 RB1 和 PTEN 丢失以及其他获得转移潜能的改变。总体而言,与肌肉侵入性膀胱癌 (BC) 相比,非肌肉侵入性膀胱癌 (BC) 通常显示二倍体或接近二倍体的核型,拷贝数改变较少。肌肉浸润性膀胱癌 (BC) 通常是非整倍体,具有许多染色体改变。
组织病理学
膀胱壁由 4 层组成:粘膜、粘膜下层、肌层和浆膜层。粘膜有一个正常的尿路上皮,由 5 到 7 个细胞厚的复层非鳞状上皮(移行细胞上皮)组成,均一细胞,顶部有大伞状细胞。BC 起源于尿路上皮;大多数膀胱癌 (BC) 是尿路上皮;其他不常见的类型包括鳞状细胞癌、小细胞癌和腺癌。
膀胱 尿路上皮癌 (UC) 根据形态和通路细分为乳头状(乳头状瘤、低恶性潜能和乳头状癌)和扁平状(尿路上皮原位癌和浸润性癌)类别。世界卫生组织 (WHO) 根据组织病理学将 尿路上皮癌 (UC) 分类为基于核再生和结构异常程度的低级别或高级。浸润性 尿路上皮癌 (UC) 的组织学是可变的。大多数 pT1 癌是乳头状、低级别或高级别,而大多数 pT2-T4 癌是非乳头状和高级别。当 尿路上皮癌 (UC) 与非尿路上皮形式相关时,这种关联被称为 尿路上皮癌 (UC) 分化。可能的形态包括鳞状、腺状、小细胞甚至滋养细胞系。
病理学在膀胱癌 (BC) 的管理中起着至关重要的作用。在初步诊断时,大多数患者表现为非肌肉浸润性 BC,这与更好的总体存活率和预后相关。尿路上皮癌 (UC) 病理评估中最关键的因素是确定浸润范围以设置适当的分期。BC 可以是单焦点的或多焦点的。大多数病例表现为多灶性。多灶性肿瘤可能是多个独立的或起源于一个共同的起源。病理报告应包括:肿瘤位置、肿瘤分级、肿瘤深度、有无CIS、检查标本中是否存在逼尿肌。病理报告还应包括 LVI 或异常(变异)组织学的存在。在复杂或困难的情况下,建议由经验丰富的泌尿生殖病理学家进行额外审查。
膀胱癌的发病过程及身体变化
BC 是老年人(> 60 岁)的肿瘤。常见的症状包括:
- 镜下血尿
- 肉眼血尿
- 感染或梗阻。
其他不太常见的症状包括排尿疼痛、尿频、疲劳、体重减轻和盆腔肿块等全身症状。
没有用于早期检测膀胱癌 (BC) 的筛查测试。肉眼血尿与晚期疾病阶段相关。
膀胱癌的临床检查
用于诊断膀胱癌 (BC) 的诊断方式包括影像学(超声、静脉尿路造影 (IVU)、计算机断层扫描 (CT) 和磁共振成像 (MRI))、膀胱镜检查和活检。膀胱镜检查被认为是膀胱癌 (BC) 初始管理的金标准。所有异常病变,例如扁平的淡红色病变、乳头状病变或实性病变,都需要进行活检和组织学评估。理想的膀胱活检应包括固有肌层以评估浸润(T1:上皮下结缔组织浸润;T2:固有肌层浸润)。幸运的是,大多数患者表现为非固有肌层浸润,其预后优于固有肌层浸润。除了极少数例外,肌肉浸润性 (T2) 尿路上皮癌是高级别的。在一些疑似膀胱癌病例的初步检查中,肾脏和膀胱超声可能有用。有些病例会受益于 CT 尿路造影(或 IVU)。细胞学仍然是一种重要的诊断工具,应该对新鲜尿液进行检查。细胞学对患者的随访也很有价值。
膀胱癌的治疗与患者看护
UC的治疗策略取决于是否有肌肉侵犯。非肌肉浸润性 尿路上皮癌 (UC) 患者的管理是通过内窥镜切除术和基于风险的膀胱内治疗,如卡介苗 (BCG)。卡介苗 (BCG) 最初是一种用于结核病的疫苗,但与化疗相比,它已被证明可以减少 尿路上皮癌 (UC) 的复发和进展(与无 BCG 治疗相比高达 37%)。然后患者应接受主动监测、尿液细胞学筛查和/或辅助分子筛查。对于保守治疗难治的肿瘤,膀胱切除术应该是一种选择。肌肉浸润性 尿路上皮癌 (UC) 的治疗是膀胱切除术伴或不伴化疗。可以根据疾病分期和是否存在转移纳入新辅助/辅助治疗。
已经开发了管理算法来标准化UC的管理。成年血尿患者应首先进行细胞学和/或膀胱镜检查。如果尿液细胞学或膀胱活检呈阳性,则患者应接受经尿道膀胱肿瘤切除术 (TURBT) 或上尿路影像学检查。非肌层浸润性 尿路上皮癌 (UC) 应根据风险分层进行管理,而肌层浸润性 尿路上皮癌 (UC) 的管理应基于疾病的范围和阶段。
非肌肉浸润性 尿路上皮癌 (UC) 的管理基于 TURBT 后进行的风险分层,并依赖于肿瘤分期、数量、大小、病理分级、相关的 CIS、淋巴血管浸润或异常组织学的存在。根据风险评估,患者被分为低风险、中风险或高风险。低危肿瘤的标准包括原发性、孤立性、Ta、LG/G1、< 3 cm、无 CIS;中等风险肿瘤:所有未在两个相邻类别(低风险和高风险类别之间)中定义的肿瘤,高风险肿瘤:以下任何一种:T1 肿瘤、HG/G3 肿瘤、CIS、多发性和复发性大肿瘤(>3 cm) Ta G1G2 肿瘤(必须具备所有条件)。
低风险患者的管理是通过单次术后灌注膀胱内化疗,然后进行 > 5 年的监测;辅助膀胱内治疗不适用。中等风险患者通过单次膀胱内化疗进行管理,然后进行诱导和 1 年的 BCG 或化疗(丝裂霉素或多柔比星)膀胱内维持治疗,然后进行终身监测。高危患者在 4-6 周内通过 TURB 重新分期。根据结果,患者要么接受膀胱内 BCG 治疗,要么接受根治性膀胱切除术。
肌层浸润性膀胱癌的处理有其分期和患者是否适合手术以及患者是否愿意接受根治性膀胱切除术的后果。II 期和 III 期可以通过联合顺铂/根治性膀胱切除术或联合方式(TURBT 和放化疗)进行管理。IV 期转移性疾病的治疗以铂类为基础的化疗组合。已发现两种组合同样有效;第一种包括甲氨蝶呤、长春碱、多柔比星和顺铂 (MVAC) 的组合,通常被认为是标准的一线方案。第二种结合了吉西他滨和顺铂 (GC)。
根治性膀胱切除术需要切除膀胱、邻近器官和区域淋巴结。在男性中,通常会切除前列腺和精囊。在女性中,切除子宫、子宫颈、卵巢和前阴道是常态。通过原位新膀胱进行尿流改道是首选的尿流改道手术,因为它可以使患者排尿,从而提高患者的生活质量。
鉴别诊断
- 良性前列腺增生症
- 出血性膀胱炎
- 前列腺炎
- 尿路感染
- 肾结石
- 肾细胞癌
- 肾尿路上皮癌
- 妇科癌症或其他盆腔癌
- 放射性膀胱炎
- 憩室炎
膀胱癌的分期
TNM系统
T类
- Ta 病变 – Ta 肿瘤是容易复发的乳头状(外生性)病变。
- Tis: – 未侵入上皮下结缔组织的高级别上皮内肿瘤。
- T1 病变 – T1 肿瘤侵入粘膜下层或固有层。
- T2 病变 – T2 病变中存在对肌肉的侵入。
- T3 病变 – T3 肿瘤超出肌肉进入膀胱周围脂肪。
- T4 病变 – 肿瘤侵犯前列腺、阴道、子宫或肠道为 T4a,而肿瘤固定于腹壁、盆壁或其他器官为 T4b。
淋巴结 N
- 无法评估 NX 淋巴结
- N0 无淋巴结转移
- N1 真骨盆内单个区域淋巴结转移(膀胱周、闭孔、髂内外或骶淋巴结)
- N2 真骨盆内多处区域淋巴结转移
- N3 淋巴结转移扩散至髂总淋巴结
远处转移 (M)
- M0 无远处转移
- M1 远处转移
- M1a 远处转移仅限于髂总动脉以外的淋巴结
- M1b 非淋巴结远处转移
临床分期
- 第一阶段:T1、N0、M0
- 第二阶段:T2、N0、M0
-
第三阶段:
-
IIIA 期:T3a、T3b 或 T4a;N0; M0 或 T1 至 T4a、N1、M0
- IIIB 期:T1 至 T4a、N2 或 N3、M0
-
-
第四阶段:
- IVA 期:T4b、任何 N、M0 或任何 T、任何 N、M1a
- IVB 期:任何 T、任何 N、M1b
膀胱癌的临床治疗效果评估
尿路上皮癌 (UC) 的预后取决于多种因素。TNM分期是膀胱癌最重要的预后因素。pT1 的 5 年总生存率 (OS) 为 75%,pT2 为 50%,pT3 为 20%。固有肌层的侵犯决定了患者分期是 pT1 还是 pT2。与典型的 尿路上皮癌 (UC) 相比,尿路上皮癌 (UC) 的一些组织学变体的预后相对较差。这些变体包括具有横纹肌样特征的尿路上皮癌、尿路上皮微乳头状癌、浆细胞样癌、肉瘤样癌、小细胞癌和未分化癌。尿路上皮癌 (UC) 的其他不良预后因素包括淋巴管浸润、尿路上皮原位癌、复发、大肿瘤和多中心性。
并发症
尿路上皮癌 (UC) 的并发症包括与肿瘤相关的症状和不良反应的治疗。与肿瘤相关的并发症包括体重减轻、疲劳、尿路感染、转移和导致慢性肾衰竭的尿路梗阻。手术治疗的副作用包括尿路感染、尿漏、囊结石、尿路梗阻、勃起功能障碍和阴道狭窄。
多学科联合诊断
- 泌尿科
- 肿瘤科
- 肾脏科
- 姑息治疗临床医生
- 基因解码师
如何防治膀胱癌?
患者应了解无痛性肉眼血尿、UTI 或膀胱刺激症状可能是 尿路上皮癌 (UC) 的早期症状。
如何通过膀胱癌基因检测提高治疗效果?
BC 是一种普遍存在的疾病,具有很高的发病率和死亡率,需要跨专业的医疗和外科管理。所有持续性血尿的患者都应转诊给泌尿科医师进行检查。

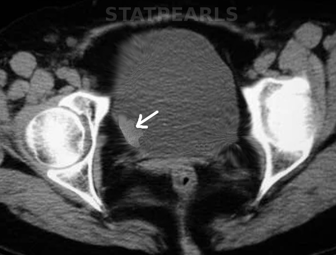
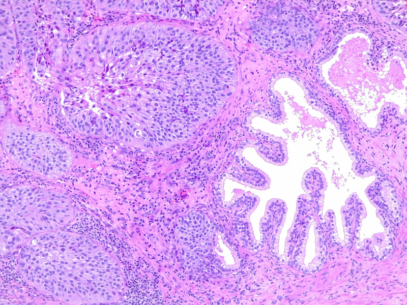
图1: 膀胱癌。图片由 S Bhimji MD 提供
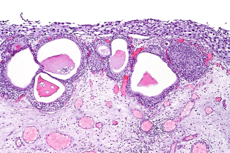
图2:膀胱炎和腺体的原位尿路上皮癌。由维基媒体 CoRus13 提供(公共领域 https://creativecommons.org/publicdomain/zero/1.0/deed.en)
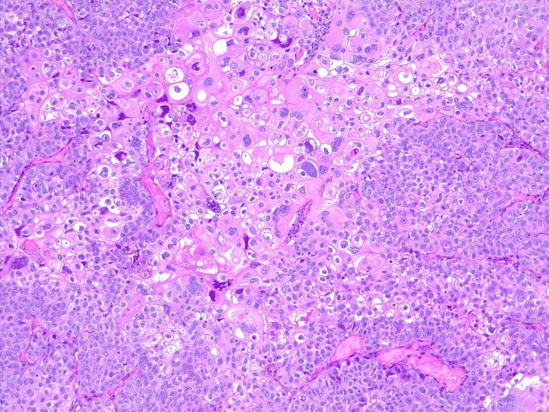
图3: 分化差的尿路上皮癌,具有化生性鳞状外观。10x,H/E。医学博士 Fabiola Farci 供稿
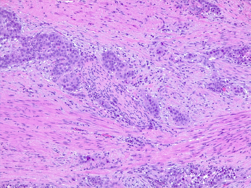
图4: 尿路上皮癌,神经周围浸润。10x H/E。医学博士 Fabiola Farci 供稿
图5:尿路上皮癌、前列腺浸润。10x H/E。医学博士 Fabiola Farci 供稿
(责任编辑:admin)



